加入好友 登入/註冊
台灣急診醫學通訊
本會期刊
台灣急診醫學通訊

第八卷第二期
刊登日期:2025/04/30
Taiwan Emergency Medicine Bulletin 8(2) : e2025080215回上頁

點閱次數:2319 PDF下載次數:13

急性腹瀉相關的結腸腸道壁病灶之影像思辨

陳穎玲

新光吳火獅紀念醫院 急診醫學科


一、前言:

        隨著腹部電腦斷層(CT)的普及化,腸胃道疾病的腸道壁變化藉由CT逐漸值得學習,尤其是一些發炎性的腸道疾病,在注射靜脈或是口服顯影劑之後,呈現不同程度的表現(enchanced pattern),可於在“侵襲性腸胃道內視鏡“以外,提供另外的診斷工具選項。此個案主要的學習重點,著重在大腸疾病腸道內壁病灶的討論。


二、個案描述:

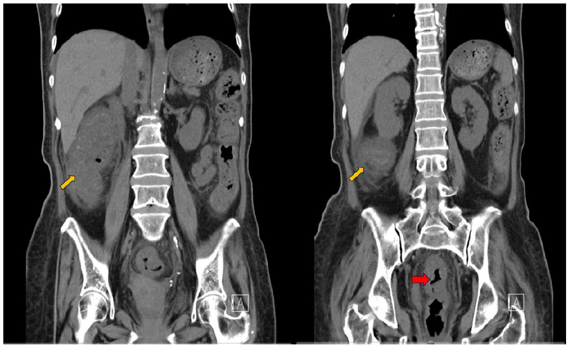
      女性長者,肺癌病史目前持續進行化學治療中,因為腹瀉1周合併虛弱無力,急診就醫。檢傷的評估如下: 意識清楚:E4M6V5,血氧濃度:97%,體溫:35.1℃, 脈搏:108 (次/min),呼吸 :18(次/min),血壓:86/49 mmHg 。焦點式身體診察顯示下腹壓痛。抽血報告,如下: 白血球(WBC):3 X10^3/uL, 發炎指數 (CRP): 18.66 mg/dL (正常值<0.3)。由於病人呈現明顯下腹痛和腹膜炎症狀,臨床醫師安排腹部電腦斷層,但是因為病人腎功能不佳,影像的呈現屬於未施打靜脈顯影劑 (contrast medium)的條件(圖一)。


 

圖一腹部電腦斷層(未施打靜脈顯影劑) (縱切面)。左圖,整段升結腸和直腸腸壁明顯腫脹,腸壁的腫脹,呈現相較“不規則均勻環狀的腫脹“ (紅色箭頭)。右圖,升結腸周邊的脂肪組織呈現腫脹發炎反應,呈現相較高亮度的變化(本來是低亮度(黑色)) (Pericolic fat stranding)(黃色箭頭)。


        藉此,複習大腸腸壁分層的解剖構造。正常腸壁分層有: Mucosa, Submucosa, Muscularis propria, Serosa。某些疾病誘發大腸發炎的時候,CT上有機會看到這些分層,如下(橫切圖):



        病灶的發炎的腸壁分層會被顯影劑顯現出來,我們稱之為target Sign,如下 :


(圖自https://litfl.com/abdominal-ct-enteritis-and-colitis/)


        再回到這次討論的個案,雖然因腎功能不佳,而未注射靜脈顯影劑的影像條件,但仍隱約可見target sign,如圖二(橫切)

 

圖二腹部電腦斷層(未施打靜脈顯影劑) (橫切面)。 左圖,升結腸腸壁明顯腫脹,腸壁的腫脹。右圖,升結腸腸壁腫脹,腸壁腫脹由黃色箭頭指出,對比腹壁正上方的腸壁,紅色箭頭指出電腦斷層下的腸壁分層。

 


圖三腹部電腦斷層(未施打靜脈顯影劑) (縱切)。升結腸腸壁腫脹嚴重,腸道空腔腫漲至很小甚至幾乎看不到腸腔(lumen)。升結腸內可見亮度比較高的黏膜,主要是因為黏膜充血發炎(紅色箭頭)。黃色線條描繪,明顯腫脹的大腸結腸帶皺摺 (Haustra fold),稱為thumbprinting。


三、影像解析

        腹腔內和後腹腔的組織器官眾多,其中包括富含血管和血流灌流豐富的器官,腹部電腦斷層的執行條件,應配合臨床症狀,與檢查檢驗結果,再進行安排。電腦斷層注射靜脈顯影劑之後,有助於區別組織器官的分界與區隔,所以,在病人臨床的狀況允許下,選擇“未施打顯影劑加上施打顯影劑”的腹部電腦斷層顯像條件,提供的影像資訊,將會相較充足。

        本個案,圖三的未施打靜脈注射顯影劑的腹部電腦斷層影像中,黃色線條包圍的出現“亮的”高顯像呈現,此時呈現的pattern,稱之為accordion sign (concertina sign),主要以比喻和手風琴(Accordion)的皺褶結構相似(如圖四),accordion sign的CT影像,腸道壁變厚,腸壁mucosa充血變厚後呈現“亮度高”CT顯像,延伸至mucosa與submucosa腫脹的組織間。主要的成因可為“口服顯影劑”進入腫脹的大腸結腸袋皺摺和偽膜(pseudomembrane)之間,或因“發炎反應誘發細小的新血管生成”充斥於腫脹的腸壁。這個accordion sign,主要為嚴重的偽膜性腸炎(pseudomembrane colitis)的特異性影像表現,在其他研究文獻,指出此影像表現亦可可於感染性和缺血性腸道疾病。



圖四:腹部電腦斷層(口服顯影劑後)(橫切面),結腸腸道影像。左圖,手風琴。右圖,結腸的腸道顯像(白色圓圈),注射顯影劑後呈現accordion sign。


四、臨床和影像判讀思辨:

1. 此個案在病史方面,腹瀉一週的情況,CT上出現的表徵有:target sign, accordion sign, thumbprinting,侵犯的範圍主要是大腸(全段大腸),腸壁呈現明顯腫脹(大部分> 1公分),腫脹表現呈現不規則環狀離心的腫脹,懷疑是偽膜性結腸炎。佐以臨床檢測個案糞便的Clostridium difficile toxigenic gene detection呈現陽性,繼而確定診斷。

2. 個案在給予口服vancomycin 治療後症狀改善。

3. 偽膜性結腸炎,常見發病於長期使用抗生素的個案上,但回顧個案病史,近期內並沒有給予抗生素治療,以病史上較難聯想到“偽膜形結腸炎”的鑑別診斷。最後是CT影像的表現,輔助進一步的鑑別診斷。


五、影像診斷與陷阱

        腸壁病灶,可分為腫塊(tumor, mass),或是腸壁發炎的疾患。腸道發炎的腫脹程度,需配合病生理的表現(mucosal thickening, submucosal edema)等,以及發炎腸道的分佈,與病灶周圍的變化,方能將臨床的“非特異”性的診斷侷限,導向正確的釐清方向。


結論和學習重點:

        腸道壁發炎疾患影像鑑別診斷,須釐清腸道腫脹的程度(部位),是否為“連續性腸道病灶”“非跳躍性腸道病灶”,合併淋巴結或是器官轉移性病灶。





參考資料

1. https://radiopaedia.org/articles/accordion-sign-colon?lang=us

2. https://radiopaedia.org/cases/pseudomembranous-colitis-143.

3. https://www.sciencedirect.com/science/article/pii/S2211568414001375

4. MDCT of acute colitis in adults: An update in current imaging features panelM. https://litfl.com/abdominal-ct-enteritis-and-colitis/

5. 圖四(來源): https://learningradiology.com/archives2009/COW%20379-Accordion%20sign/accordioncorrect.htm

回上頁