加入好友 登入/註冊
台灣急診醫學通訊
本會期刊
台灣急診醫學通訊

第九卷第二期
刊登日期:2026/04/30
Taiwan Emergency Medicine Bulletin 9(2) : e2026090208回上頁

點閱次數:20 PDF下載次數:2

新興公共威脅的電子菸誘發肺部疾患影像剖析

陳穎玲、林秋梅

新光吳火獅紀念醫院 急診醫學科


一、概述

        電子菸使用,近來於年輕族群頗為盛行,是新興的公共威脅議題,急診站在社會公共醫療的第一線,時常比其他專科更早遇見這些病人。故藉此個案,結合病人的臨床症狀、影像包括X-光和電腦斷層,學習影像特徵以利鑑別診斷,尤其是電腦斷層影像特徵。


二、病例

        年輕女性,憂鬱症病史。主訴,飲酒後隔天噁心嘔吐手抖,就醫時候的生命徵象: 體溫 37.3 ℃ ,脈搏103 (次/分) ,呼吸20 (次/分) ,血壓135/109 mmHg, 血氧濃度99 %。給予症狀治療,大約2小時後,病人依然想吐,再度檢測生命徵象,呈現心跳增快 145 (次/分),血氧濃度下降至83%。心電圖呈現竇性心搏過速合併V2-V6 ST段下降。所以照射胸部X光檢查(圖一),並且抽血檢驗。抽血檢驗結果:白血球升高(WBC 17500 /uL,seg. 87%),CRP 1.6 mg/dL ( 正常值<0.3)。


三、影像判讀說明與解析:

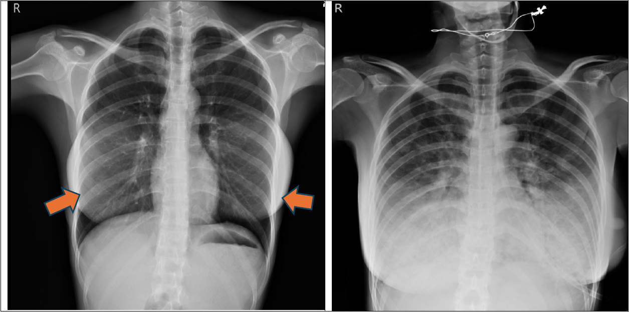
 圖一、胸部X光片。左圖,之前就醫的X光片,肺部無明顯異常 ,雙側乳房手術植入假體(箭頭)。

右圖,此次就診的X光片,雙下肺部呈現明顯浸潤,雙側肋膜角度(CP angle)仍清楚可見銳角。


臨床和影像判讀思辨:

        年輕女性,臨床血氧濃度只有83%,病人自覺有些喘,外觀並沒有呈現明顯的呼吸窘迫,胸部X光片亦呈現雙側下側肺部浸潤,臨床分析呈現「非尋常典型肺炎」的表現,故安排胸部電腦斷層檢查(圖二、圖三)。


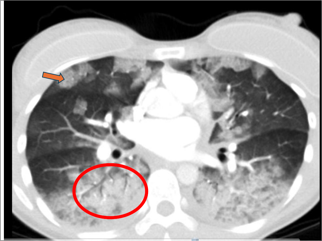
圖二、肺部電腦斷層之橫切狀面(Axial  view)。

雙側肺部上肺葉呈現毛玻璃樣的變化(橘色箭頭),雙側肺部底部呈現廣泛性浸潤(紅色圈圈)。


肺部電腦斷層,兩個主要的病灶:

1.雙側肺部底部呈現廣泛性浸潤,可見於airbronchogram sign(紅色圈圈),代表實質化的病變(consolidation),鑑別診斷包含肺炎與肺水腫。

複習:airbronchogram sign指出“支氣管和肺泡內充滿空氣”,遠端支氣管在一般影像上是不容易辨識,當鄰近肺泡組織被其他物質填滿(如滲透液、水或血),因而被呈現出來。


2.雙側肺部上肺葉呈現許多毛玻璃樣的變化(ground glass opacity) (橘紅色箭頭),呈現片狀或是也有擴散狀分佈。

        此外,肺部沒有明顯腫瘤狀的病灶,肺部肺動脈血管也沒有栓塞的情況。

 


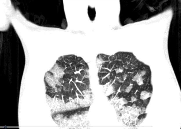
圖三、肺部電腦斷層之冠狀切面(Coronal  view)。


    雙側肺部上肺葉有許多毛玻璃樣的變化(ground glass opacity),呈現片狀或是也有擴散狀分佈。此處呈現典型的影像特徵:「crazy paving pattern」(橘紅色箭頭),意指毛玻璃樣的變化加上網狀結構,像“不規則石板/碎石拚鋪的路面”。這些網狀結構,主要是小葉間隔增厚 (interlobular septal thickening) 和小葉內線狀增厚。 常見於肺泡蛋白沉積症 (pulmonary alveolar proteinosis, PAP),感染性肺炎、腫瘤或出血等其他肺部疾病亦會呈現此變化。


四、臨床診斷和過程:

   臨床診斷與治療。再度詢問病史,病人表示有吸電子菸的習慣,大約2年。一些常見毒物的檢驗,HIV 檢測都呈現陰性。合併心肌酵素指數升高,臨床上仍會鑑別有無急性心肌炎合併肺水腫的思維。在此病人的影像上,鑑別分析上較不會傾向肺水腫的診斷,因肺水腫的病灶比較是從縱膈腔開始往雙側肺部周邊展開散去,也比較不會有類似這種“碎石不規則散佈”。病人的影像上 亦會考慮一些非典型肺炎的思維,電子菸引發的肺部疾病也會列為鑑別診斷之一。 


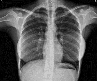
        病人繼而轉住加護病房,給予氣管內插管,  支氣管肺泡灌洗後檢測的呼吸道病原體多標的核酸檢測無異常 ,心導管的檢查心臟血管也沒有阻塞,自體免疫的抗體檢查也正常。由於心臟衰竭嚴重(EF 22.8%),合併心因性休克,所以輔助以主動脈內氣球幫浦(IABP)。在經驗性抗生素和類固醇治療兩周,逐漸改善,拔除氣管內管並順利出院。 最後出院的X光如圖下:恢復正常的胸部X光片。



 

臨床與影像學習重點:使用電子菸(加熱菸)所產生的突發性肺部急性發炎-- EVALI ,全名是「E-cigarette or vaping product use-associated lung injury」「電子菸或霧化產品使用相關肺損傷」。症狀可以在吸食電子菸後幾天或幾周內出現,包括胸痛、咳嗽、喘、發燒。確定診斷EVALI的方式是需要同時具備:(1) 90天內電子菸使用史;(2) 胸部影像學檢查顯示肺部病變(如毛玻璃狀病灶);(3) 排除肺部感染或其他潛在疾病。EVALI在肺部電腦斷層上的常見表現 (註一),大部分仍以毛玻璃樣(GGO) 表現(46%),其次為實質化變化(30%)。


五、結論:

        年輕女性出現血氧濃度異常,胸部X光片呈現不正常的浸潤,電腦斷層的安排可協助釐清病灶,其他有更多的線索可以協助診斷,例如病史也需考慮藥物和電子菸的使用。






參考文獻

1.Amjad MA, Ocazionez Trujillo D, Estrada-Y-Martin RM, Cherian SV. E-Cigarette or vaping product use-associated lung injury: A comprehensive review. Int J Environ Res Public Health. 2025;22(5):792.

2.Kligerman SJ, Kay FU, Raptis CA, Henry TS, Sechrist JW, Kanne JP, et al. CT Findings and Patterns of e-cigarette or vaping product use-associated lung injury: A multicenter cohort of 160 cases. Chest. 2021;160(4):1492-1511.

回上頁