加入好友 登入/註冊
台灣急診醫學通訊
本會期刊
台灣急診醫學通訊

第九卷第二期
刊登日期:2026/04/30
Taiwan Emergency Medicine Bulletin 9(2) : e2026090209回上頁

點閱次數:25 PDF下載次數:0

POCUS在急診肩關節急症的應用

陳國智、王鎮珄、范閎皓、翁健瑞、蔡同堯

衛生福利部雙和醫院 急診醫學科


中文關鍵字:重點式照護超音波、關節積液、關節脫位、肩

Keywords: Point-of-care ultrasound, joint effusion、joint dislocation、shoulder


        2021年的急診醫學訊中我們介紹了POCUS在髖、膝、踝關節懷疑有積液時的掃描建議,這三個下肢關節積液評估主要都是由前側(anterior approach)進行即可。(1) 肩部相關的疾病和外傷在急診也是常見的就醫主訴,除了X光外,如果能夠具備肩部關節的基本超音波掃描技巧和判讀能力,對於急診臨床工作應該會有很大的幫助。完整肩部肌肉和韌帶的評估耗時較久,掃描技巧和判讀經驗也要求更高,因此本文會針對肩關節急診臨床實務可行且幫助最大的應用進行介紹。


肩關節脫位 (shoulder dislocation)

        肩關節脫位和復位的主要診斷工具為X光。超音波在急診肩關節的主要角色其實是確認是否復位成功。早期我們多以前或側方的掃描,來確認脫位和是否復位成功,這樣的應用需要比較好的掃描能力和判讀經驗,因此不容易推廣。近期提出的後側掃描 (posterior approach)顯示出非常好的臨床表現 (Sensitivity 100% / Specificity 100%),而且大多在20秒左右就可以完成掃描和判讀。(2)後續的文獻回顧資料也支持這樣的做法 (3)。目前我們實務上的應用是以X光先行診斷和確認,在復位前和復位後進行超音波掃描,以便即時判斷是否成功復位,最後三角巾固定後再去放射部門追蹤復位後的X光。(4) 復位前可採靜脈注射鎮靜止痛葯物後再執行復位,也可執行臂神經叢的神經阻斷術後再復位。

  • 探頭:腹部的弧形探頭,有較大的廣度和深度來確認肩胛骨和肱骨頭
  • 探頭定位肩胛骨棘部(scapula spine)和肩峰(acromion)的下方橫向擺位


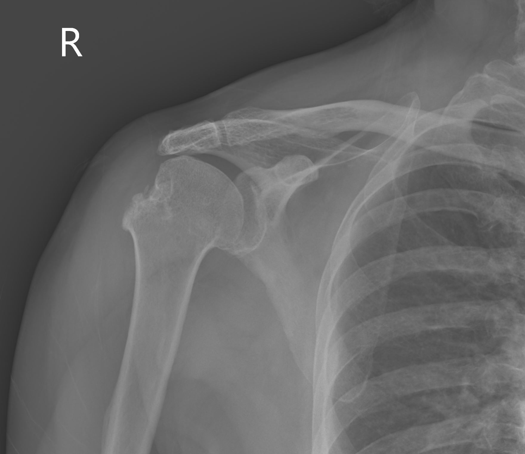
        個案70歲女性,跌倒撐地後右肩疼痛無法動,圖片1的X光可見右肩關節前脫位。我們先執行鎖骨上臂神經叢阻斷術(影片1),然後由肩棘部下方進行橫向掃描,記錄前脫位復位前的影像 (圖片2、影片2),在患者疼痛大幅減少後進行徒手復位,復位後會立即執行超音波的確認(圖片3、影片3),最後三角巾固定後追蹤復位後的X光(圖片4)。



圖片170歲女性右肩關節前脫位肩部X光




影片1、Supraclavicular brachial plexus block



圖片270歲女性右肩關節前脫位超音波示意圖



影片270歲女性右肩關節前脫位超音波影像



圖片370歲女性右肩關節前脫位復位後超音波示意圖



影片370歲女性右肩關節前脫位復位後超音波影像



圖片470歲女性右肩關節前脫位復位後以三角巾固定之肩部X光


肩關節積液 (shoulder effusion)

        肩部疼痛和腫痛的其中一個原因是關節積液或是外傷所致關節積血,超音波評估時可以由前側或後側來檢查,觀察到積液不一定就是主要的問題,一定要配合病史和理學檢查來綜合評估。

  • 探頭:前側建議以線形探頭為主 ; 後側建議以弧形探頭為主
  • 探頭定位 
  • 前側如果患者可以配合,將手心朝上,手指朝前,這樣可將二頭肌溝暴露出來方便檢查,線形探頭橫向放在近端肱骨往肩部橫移掃描,可見位在二頭肌溝(bicipital groove)內的肱二頭肌長頭肌腱(LHBTlong head of biceps tendon)(影片4)。如果有關節積液或積血時,可以在LHBT旁觀察到。小心不要將因角度改變所呈現的各異向性(Anisotropy)假影誤認為積液。如果附近有積液,但不在LHBT周圍,這積液可能是滑液囊炎所致。
  • 後側如同肩關節脫位的擺位,觀察重點在肱骨和肩胛骨交會的盂肱關節(glenohumeral joint)後側(影片5,箭頭所指處)。



影片4二頭肌溝(bicipital groove)內的肱二頭肌長頭肌腱(LHBT - long head of biceps tendon)。影片中可見因角度調整呈現的各異向性(Anisotropy)假影



影片5肱骨頭和肩胛骨交會的盂肱關節(glenohumeral joint)後側。有肩關節積液時可在箭頭處看到積液。


     個案42歲男性,右肩部疼痛,無法上抬手臂。無外傷、無發燒,外觀無明顯紅腫。超音波呈現為SASD bursitis(subacromial-subdeltoid bursitis, 肩峰下-三角肌下滑囊炎) (圖片5、影片6),經超音波導引抽吸後疼痛顯著改善(影片7)。



圖片542歲男性,右肩疼痛。超音波標示為SASD bursitis (subacromial-subdeltoid bursitis, 肩峰下-三角肌下滑囊炎)。

星號標註為二頭肌長頭肌腱(LHBT - long head of biceps tendon)



影片642歲男性,右肩疼痛。超音波影片所見積液在LHBT上方,為SASD bursitis



影片742歲男性,右肩因SASD bursitis致疼痛。超音波導引滑囊積液抽吸


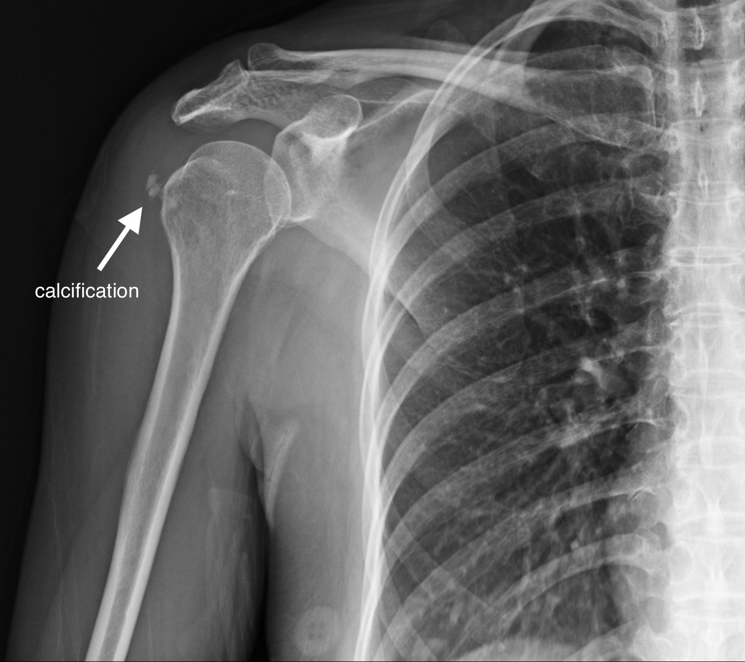
        個案56歲女性,右肩外側疼痛4天。無明顯紅腫。生命徵象穩定,急診就診前一天有些微發燒,理學檢查右肩外側一處明顯壓痛,右上臂無法上抬。超音波影像上看到肩關節少量積液(影片8、影片9),但主要疼痛部位在棘上肌腱上的鈣化病變 (圖片6、圖片7)。在超音波導引下我們為該患者進行治療 (影片10),患部疼痛立即得到緩解後自急診出院,安排後續復健科追蹤。



影片856歲女性,右肩疼痛數日。超音波影像可見LHBT旁少量的關節積液



影片956歲女性,右肩疼痛數日。超音波影像可見盂肱關節後側少量的關節積液



圖片656歲女性,右肩疼痛數日。肩部X光可見鈣化點



圖片756歲女性,右肩疼痛數日。超音波可見棘上肌腱上鈣化病變



影片1056歲女性,右肩疼痛數日。超音波導引下進行鈣化病變局部麻醉劑和類固醇注射


        個案49歲男性,左手腳腫約一天,左肩疼痛近二週。無外傷,無發燒。手腳部位腫痛超音波呈現多處關節積液。左肩部LHBT旁和盂肱關節後側都可見少量關節積液(影片11,影片12),經超音波導引由盂肱關節後側抽吸關節積液送檢(影片13),在排除septic arthritis和gouty arthritis後,安排風濕免疫科門診繼續多發性關節炎的檢查和追蹤治療。



影片1149歲男性,左肩疼痛二週。LHBT旁有少量積液



影片1249歲男性,左肩疼痛二週。盂肱關節後側有較多關節積液



影片1349歲男性,左肩疼痛二週。超音波導引進行盂肱關節後側關節積液抽吸送檢


Take Home Message: 

1.手的正確擺位有助於正確找到LHBT,也有助於骨針放置的定位,用線形探頭開始比較合適

2. LHBT是肩關節前側的定位點,有助於關節積液和滑液囊炎的鑑別,也是旋轉肌袖掃描的起始參考構造

3. 後側的盂肱關節用弧形探頭開始比較適合用來評估肩關節脫位和關節積液,瘦小的患者和需要評估後側的旋轉肌袖時需要切換為線形探頭







參考資料:

1.陳國智、翁健瑞、張志華。重點式超音波在下肢關節積液的掃描建議。台灣急診醫學通訊: 第四卷第六期

2.Secko MA, Reardon L, Gottlieb M, Morley EJ, Lohse MR, Thode HC Jr, Singer AJ. Musculoskeletal Ultrasonography to Diagnose Dislocated Shoulders: A Prospective Cohort. Ann Emerg Med. 2020 Aug;76(2):119-128. doi: 10.1016/j.annemergmed.2020.01.008

3.Gottlieb M, Patel D, Marks A, Peksa GD. Ultrasound for the diagnosis of shoulder dislocation and reduction: A systematic review and meta-analysis. Acad Emerg Med. 2022 Aug;29(8):999-1007. doi: 10.1111/acem.14454

4.陳國智、翁健瑞、蔡同堯。超音波輔助和導引的基礎緊急處置。台灣急診醫學通訊: 第七卷第六期

5.陳國智、翁健瑞。超音波輔助神經阻斷術: 急診醫師必備之肢體創傷疼痛緩解技巧。台灣急診醫學通訊: 第六卷第四期


回上頁