加入好友 登入/註冊
台灣急診醫學通訊
本會期刊
台灣急診醫學通訊

第九卷第二期
刊登日期:2026/04/30
Taiwan Emergency Medicine Bulletin 9(2) : e2026090202回上頁

點閱次數:49 PDF下載次數:0

您喜歡那一個?買一送一或五折

李宗祐、黃英傑
嘉義基督教醫院急診部

Which One Do U Like? Buy 1 Get 1 Free or 50% OFF

前言
    “買一送一” 與 “五折” (請注意!右下角沒有一個很小的”起”)是“周年慶”、”感恩祭” 此類活動常見的策略,何者較能吸引您買單呢?

    今天已經是AI當紅的時代,如同古代 “言必稱堯舜”、又有如18世紀歐洲王公貴族言談間若不摻雜些法語就不夠高尚。趁著AI還沒有統治人類之前,主動問這問題吧 (不同的AI回答未必相同,為節省時間,以下是Gemini的回答):

    從數學角度來看,「買一送一」與「五折」的折扣幅度相同,都是以50%的價格購入商品。但在消費心理與商家策略上,兩者有顯著差異:

1. 消費門檻與客單價
    買一送一:強迫消費者一次購買兩件商品才能享有優惠。對商家而言,這能有效提高客單價,並加速庫存去化。

    五折:消費者購買單件即可享有半價。這對只想買一份的人來說更具吸引力,彈性較高。 

2. 品牌價值與心理感受
    心理帳務:研究顯示,消費者通常對「獲得免費贈品」的喜悅感高於「少付錢」。

    定價策略:若品牌長期直接打「五折」,會讓消費者對產品的「原價」產生懷疑,覺得它本來就只值一半的錢,進而損傷品牌價值。

    儀式感:如星巴克頻繁推出買一送一,是為了維持品牌高單價的形象,同時利用「分享」的概念與消費者建立連結,而非單純削價競爭。 

3. 計算上的陷阱
    基準點不同:有些促銷會以「第二件五折」來吸引人,但這其實只相當於總額打 75 折,優惠力道遠低於買一送一。

    低價優先:部分商家在買一送一時會規定「以價高者計費」,若兩件商品價差大,實際折扣率會高於五折。 

    您看是不是條理分明?雖然第三點並未針對問題回答,但卻有 “舉一隅而三隅返” 的精神,您說AI有自我意識的日子還會遠嗎?此外文中有參考資料的超連結(為避免您分神,刪掉了),對比本刊Reference/Further Reading毫不遜色。至於評鑑重點要求的Take Home Message,更是以以下表格呈現,據研究顯示knowledge retention的效果,表格優於重點文字條列。更狠的是最後還有免責申明:“AI可能會出錯,請自行查證回覆內容”。留下瞠目結舌的我們,望著AI的車尾燈迅速遠去……

項目買一送一 (BOGO)直接五折 (50% Off)
數學折扣50%50%
購入件數必須2件1件即可
商家目的增加銷量、清庫存降低單價吸引新客
消費者觀感感覺賺到一個免費的東西

感覺原價過高、品牌掉價


開始瞎拚

CASE 1
    77歲男性,胸悶、會輻射至左肩已一週。今天胸悶三小時未改善,且會冒冷汗、頭暈,故來急診就診。入門心電圖如下,PoCUS無明顯異常。

 

    下一步您會怎麼做?
    A. 懷疑急性冠心症,緊急會診值班心臟科醫師
    B. 提供藥物治療並進行其他檢查,20~30分後執行第二次心電圖看有無變化
    C. 等待驗血cardiac troponin的結果,高就會診心臟科、正常則且戰且走
    D. 鑑別診斷其他胸悶、可能危及生命的急症,例如主動脈撕裂、肺栓塞等


    20分鐘後的心電圖:
 
    

        與第一張心電圖比較,有任何變化(dynamic change)嗎?

    23分鐘後,檢驗報告出爐Troponin-I 0.698 ng/mL,急會診心臟內科已無疑慮

    又過了23分鐘,第三張心電圖如下:
 

    緊急心導管檢查顯示右冠動脈主導(Right dominance),中段有血塊近100%堵塞(TIMI 2 flow),左前降支也有瀰漫性的鈣化與80-90%的狹窄。經過血塊抽吸、導管氣球與支架治療,終於消除阻塞(0% stenosis)並且恢復血流(TIMI 3 flow),病人症狀也豁然緩解。

討論:
    除了臨床表現符合(suggestive symptoms and signs)外,第一張心電圖aVL導極ST波段沉降。導極II, III, aVF雖然J點並未上升,但是隨後的ST波段筆直、T波頂點提前(increased symmetrical score),這不禁令人擔心是否為代表阻塞性心肌梗塞(OMI)hyperacute T waves (HATW)1。初步PoCUS雖未見左心室區段運動異常(regional wall motion abnormalities; RWMA),但OMI初期、病人體態、配合度,檢查者經驗與當時身心狀態,都有可能導致無明顯WMA或未能察覺。切記當PoCUS看到RWMA代表該區段心肌缺血(氧)(急性或後遺症),沒看到無法排除。

    隨著時間的進行,除了導極aVL ST-T的異常外,導極II, III, aVF的異常越來越明顯,臨床表現也符合心肌缺氧,因此果斷進行心導管檢查並確定診斷並治療病灶。成功治療後,病人轉危為安。


延伸閱讀 (Further Reading)


參考文獻 (Reference)



選擇50% OFF的客人請登出,選擇BOGO的客人請繼續    

CASE 2
    77歲女性,胸悶到診所就診。看診時昏厥,診所醫師氣定神閒地轉入。入急診時意識清楚,12導心電圖如下:

 

    病人體態如唐朝美女,敘述輕微胸悶時臉不紅、氣不喘。SpO2 91% (room air),鼻管給氧3 L/min可達100%。身體評估時可躺平,呼吸因兩側對稱無異常音、腳不腫。PoCUS可見心室中膈運動較差,但是左側心房心室未擴大,也沒有心包膜積液。接下來您會怎麼做?
    A. 懷疑急性冠心症,緊急會診值班心臟科醫師
    B. 提供藥物治療並進行其他檢查,20~30分後執行第二次心電圖看有無變化
    C. 等待驗血cardiac troponin的結果,高就會診心臟科、正常則且戰且走
    D. 鑑別診斷其他胸悶、可能危及生命的急症,例如主動脈撕裂、肺栓塞等


    當班醫師很高興地說,病人胸悶改善、V1-3導極T波深陷、胸前導整體R波漸進性(R-wave progression)未破壞……,我在台灣急診醫學通訊看過,這就是B-type Wellens症候群,代表冠動脈左前降支急性堵塞雖因自溶稍有血流通過,不緊急處理再度堵塞的風險很高。立刻給予藥物治療,並緊急會診值班心臟內科醫師……

    心臟內科醫師嘉許急診反應迅速,建議等cardiac troponin檢驗結果出來後告訴他,他會盡快前來診察病人……

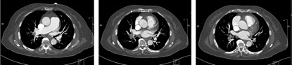
    旋即病人血壓收縮壓掉到90+ mmHg,緊急電腦斷層攝影呈現:

 

    哇!趕快給予肝素(heparin)、訂加護病房床位,並且告訴心血管科醫師堵塞的是肺動脈、不是冠動脈。亡羊補牢再次仔細評估病人,心電圖固然有傳說中的S1Q3T3,但是沒有肺梗塞最常見的心軸右偏(right axis deviation)與心率過速(tachycardia)……PoCUS唯有將左側乳房往上推才看得到4-chamber view。原來心室中膈動得較差是被脹大的右心室壓迫所致,仔細尋找也可以看到McConnell's sign

討論:
    昏厥(syncope),被小說與戲劇渲染的無遠弗屆,然而醫學嚴謹的定義是(腦部血流降低導致)暫時性失去神智與身體張力(postural tone)。事發時除非是躺著,通常多有因跌倒留下的痕跡。昏厥的原因相當多元,由最常見的迷走神經亢奮(vasovagal syncope)、姿勢性低血壓,到不可忽視癲癇、腦血管病變,甚至危及生命的心因性昏厥(cardiogenic syncope)。因此對於“昏倒”的病人,當確定是昏厥時,務必有系統地仔細評估可能病因,並應對處置。

    Wellens症候群有特異性的心電圖變化,代表冠動脈左前降支近端顯著狹窄、堵塞後很幸運自溶。只有藥物治療而無積極處理病灶血管,近期再度阻塞而造成大面積的心肌梗塞的風險很高。因此臨床上符合的表現,加上特異的心電圖變化,常常讓人一頭栽進冠動脈血管攝影檢查與治療。但是除了上述冠動脈病變以外,冠動脈痙攣、心臟需求增加造成供不應求、全身性缺氧都可能有此表現。

    急性冠心症僅有5-12%的病人會因影響血循的心律不整、嚴重心衰竭、迷走神經過度亢奮(常見於下壁心梗)而昏厥2。查無證據、可能性低、或是有懷疑其他急症跡象時,務必考慮相關的檢查以免延誤診斷與根本性的治療。


延伸閱讀 (Further Reading)


參考文獻 (Reference)


Take home message
● 急性冠心症會胸痛,其他可致命胸痛的病包括:
    ◇ 急性主動脈症候群(acute aortic syndrome)
    ◇ 肺栓塞(pulmonary embolism)
    ◇ 心包填塞(cardiac tamponade)
    ◇ 張力性氣胸(tension pneumothorax)
    ◇ 心肌炎(myocarditis)
    ◇ 縱膈腔炎(食道破裂)(mediastinitis, esophageal rupture)
● 昏厥常見原因(有請Gemini上場。小編偷懶了?還需要你嗎?) 



 
看到這張表格……,不過AI進步飛速……

● 心電圖對於特定疾病的診斷、鑑別診斷及力有未逮之處
● 急病表現除典型表現外可千變萬化,且因人而異。診治過程除了講究效率外,務必謹慎,切勿見獵心喜(early closure)或是見樹不見林(anchoring)

回上頁