加入好友 登入/註冊
台灣急診醫學通訊
本會期刊
台灣急診醫學通訊

第八卷第五期
刊登日期:2025/10/31
Taiwan Emergency Medicine Bulletin 8(5) : e2025080509回上頁

點閱次數:115 PDF下載次數:12

產後突發性心衰竭併多處血栓:周產期心肌病變

楊詞媛1、邱柏惟1*

1成功大學醫學院附設醫院 急診部


臨床案例

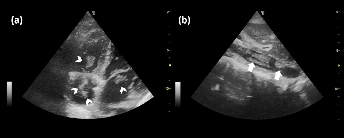
            一位 34 歲經產婦(G6P4A1),因胎位不正於妊娠 37 週時在診所接受剖腹產。胎兒出生約 5 分鐘後,產婦產生突發性低血氧與抽搐,隨即心跳停止。經醫師立即實施心肺復甦後轉送急診。到院心率呈無脈搏電氣活動PEA,經 20 分鐘急救後恢復自發循環ROSC。POCUS顯示左心室收縮功能嚴重低下(EF 約 20%),且在心臟四個腔室內皆可見血栓形成,下腔靜脈亦有血栓(圖1)。

 


圖1. (a)顯示四個心腔內皆可見多發性血栓(箭頭所示)。劍突下下腔靜脈切面影像; (b)可見下腔靜脈內多發性血栓(短箭頭所示)。

本圖取自 Chiu P-W 等人發表於 Annals of Emergency Medicine(2023),經 Elsevier 授權重製


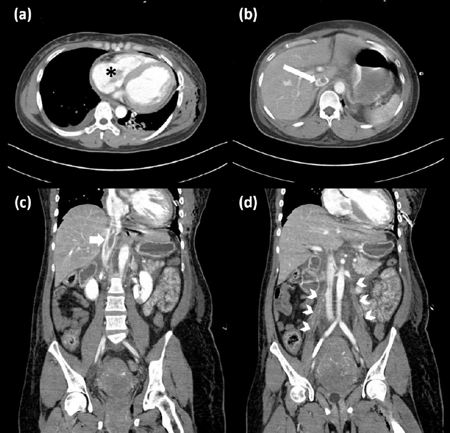
            進一步全身電腦斷層發現靜脈系統多處 filling defect,包含右心房、下腔靜脈與卵巢靜脈(圖2)。和心臟科以及影像科醫師討論後,認為羊水栓塞和周產期心肌病變此兩鑑別診斷較為可能,但考量到產婦嚴重的心衰竭症狀,故最後以周產期心肌病變合併多處血栓作為主要診斷,並讓患者立刻接受葉克膜支持及 heparin 抗凝治療,但病情於 24 小時內惡化,最終死於心因性休克及瀰漫性血管內凝血DIC導致的多處出血。

 


圖2 (a) 星號所示右心房內血栓;(b)(c)長箭頭所示下腔靜脈內血栓。 (d)箭頭所示卵巢靜脈血栓。

本圖取自 Chiu P-W 等人發表於 Annals of Emergency Medicine (2023),經 Elsevier 授權重製 


周產期心肌病變

            周產期心肌病變(Peripartum Cardiomyopathy, PPCM)是一種罕見但高度致命的心臟疾病,常發生於妊娠最後一個月至產後五個月內。其特徵為左心室收縮功能顯著下降(LVEF < 45%),並需排除其他潛在原因如冠狀動脈疾病、瓣膜病、心肌炎、肺栓塞、化療相關心肌病等1。早期症狀如呼吸喘、下肢水腫或倦怠常被誤認為妊娠生理現象,導致延誤診斷2


            PPCM 的致病機轉仍未完全釐清,目前主流假說認為與血管激素失衡、氧化壓力與遺傳易感性相關。Hilfiker-Kleiner 等人提出的「血管激素假說」指出,在氧化壓力下,Prolactin裂解為具毒性的 16 kDa 片段,造成心肌微血管損傷與細胞凋亡3。胎盤釋放的抗血管生成因子 sFlt-1 也會抑制心肌灌流及修復能力4。約 10–15% 的 PPCM 患者帶有與擴張型心肌病(DCM)相關的 TTN 或 DSP 基因突變,顯示遺傳體質亦可能參與疾病發生5


            在診斷上,心臟超音波是最重要的工具,不僅可評估左心室功能,也可偵測心內血栓。約有 10–17% 的 PPCM 病人會形成心內血栓,而在重度左心室衰竭的族群中,發生率甚至可達 50%。妊娠與產後階段為高凝血狀態(Hypercoagulable States),凝血因子(VII、VIII、X、Fibrinogen)上升,加上心衰引起的血液滯留,使血栓形成風險大幅提高6,7。本病例中,病人於急救後發現血管及心臟腔室內多處血栓,顯示急性心肌衰竭與高凝血狀態的相乘效應可能導致災難性多部位血栓。


            在治療方面,對於 PPCM 合併心室血栓,目前缺乏一致的治療指引。根據歐洲心臟學會與美國心臟學會的建議,當 LVEF < 35% 或證實存在血栓時,應給予抗凝治療anticoagulation therapy至心功能恢復或血栓完全消失為止8,9。若是仍處於妊娠期間以低分子量肝素(LMWH)為首選,產後可改用Warfarin。新型口服抗凝劑NOAC在哺乳期安全性尚未確立,仍不建議使用9。PPCM 的核心治療原則與一般心臟衰竭相似,主要目標為穩定血流動力學、改善左心室功能及預防血栓。產後患者可使用標準心衰藥物組合,包括ACEI、ARB、β-blocker以及MRA(spironolactone)。若病情穩定且腎功能許可,這些藥物可顯著改善左心室重構與存活率1,2。孕期階段則因藥物安全性限制,ACEI 與 ARB 禁用,可考慮使用Nitrite類合併 hydralazine,以減少前後負荷;β-blocker則相對安全,可謹慎使用於必要患者3


            在特殊治療方面, Bromocriptine因可抑制催乳素分解片段的生成,被認為能減少心肌細胞損傷與促進心功能恢復。歐洲心臟學會ESC建議於重症 PPCM 患者可考慮短期合併使用,並同步給予抗凝治療以避免血栓併發5。整體而言,PPCM 的治療需根據妊娠階段、心功能狀況與併發症風險做個別化調整,並以多專科團隊合作為原則,以提升母體存活與心功能恢復率。


            在急性PPCM所致心因性休克合併血液循環不穩定,應儘早啟動機械性循環支持如 ECMO、LVAD、IABP等以維持灌流穩定,部分患者會進展至需心臟移植。本案例雖即時啟用 ECMO,但因嚴重休克合併多處血栓後的DIC,最終仍不幸死亡。


結論

            周產期心肌病變PPCM雖罕見,但臨床表現多樣且病程進展快速,尤其當合併多發性心腔及靜脈血栓時,死亡風險極高。本病例顯示,產後短時間內突發的低血氧、抽搐或心跳停止,除需考慮羊水栓塞外,也應將 PPCM 及其併發之血栓栓塞列入鑑別診斷。


        急診床邊超音波POCUS或TTE在扮演關鍵角色,可迅速辨識左心室功能不全與血栓形成。對於疑似 PPCM 的患者,早期啟動抗凝治療及心臟衰竭標準治療可望改善預後;若病況惡化,應儘早考慮葉克膜(ECMO)等機械性循環支持。


Acknowledgment

本文部分圖片取自作者先前發表於 Annals of Emergency Medicine 的個案報告,經出版社授權重製,用於教育及推廣目的。






Reference

1. Arany Z, Elkayam U. Peripartum cardiomyopathy. N Engl J Med. 2016;374(17):1619–1628.

2. Sliwa K, Hilfiker-Kleiner D, Petrie MC, et al. Current state of knowledge on peripartum cardiomyopathy: a position statement from the Heart Failure Association of the ESC. Eur J Heart Fail. 2010;12(8):767–778.

3. Hilfiker-Kleiner D, Sliwa K. Pathophysiology and management of peripartum cardiomyopathy. Nat Rev Cardiol. 2014;11(6):364–370.

4. Patten IS, Rana S, Shahul S, et al. Cardiac angiogenic imbalance leads to peripartum cardiomyopathy. Nature. 2012;485(7398):333–338.

5. Ware JS, Li J, Mazaika E, et al. Shared genetic predisposition in peripartum and dilated cardiomyopathies. N Engl J Med. 2016;374(3):233–241.

6. Modi KA, Illum S, Jariatul K, Caldito G, Reddy PC. Poor outcome of indigent patients with peripartum cardiomyopathy in the United States. Am J Obstet Gynecol. 2009;201(2):171.e1–e5. 

7. Ersbøll AS, Johansen M, Damm P, Rasmussen S, Vejlstrup NG, Gustafsson F. Peripartum cardiomyopathy in Denmark: a retrospective, population-based study of incidence, management and outcome. Eur J Heart Fail. 2017 Dec;19(12):1712-1720. 

8. Regitz-Zagrosek V, Roos-Hesselink JW, Bauersachs J, et al. 2018 ESC Guidelines for the management of cardiovascular diseases during pregnancy. Eur Heart J. 2018;39(34):3165–3241.

9. Gentry MB, Dias JK, Luis A, et al. Prognostic indicators and outcomes in peripartum cardiomyopathy. Am J Cardiol. 2010;105(6):911–916.

回上頁