加入好友 登入/註冊
台灣急診醫學通訊
本會期刊
台灣急診醫學通訊

第八卷第五期
刊登日期:2025/10/31
Taiwan Emergency Medicine Bulletin 8(5) : e2025080510回上頁

點閱次數:78 PDF下載次數:1

月經來襲的氣胸:急診醫師不可忽視的女性胸痛陷阱

黃柏偉1、侯承佑1*

奇美醫院急診醫學部


臨床案例

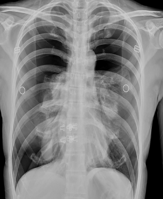
            32歲女性,於2024年6月來診,主訴早上開始覺得呼吸喘及胸痛治急診就醫,檢傷生命徵象:體溫36.8∘C,心跳114下/分鐘,呼吸24下/分鐘,室氧下濃度86%,血壓171/78mmHg。病人過去病史為在2019年前曾因子宮內膜異位瘤手術,術後持續接受荷爾蒙治療(Dienogest)直到2023年,約一個月前因不孕症開始嘗試IVF。理學檢查時發現雙側呼吸音減低,胸腔X光(圖一)發現雙側氣胸,經雙側胸管置放後呼吸喘狀況改善。後續的胸腔電腦斷層時發現右側橫膈膜節結(圖二),懷疑子宮內膜異位造成經期性氣胸,安排雙側video-assisted thoracoscopy (VAT),並進行雙側病灶處wedge resection及肋膜沾黏術,術後病理切片顯示為子宮內膜異位組織,出院後病人至婦產科門診持續接受子宮內膜異位的賀爾蒙治療(Dienogest)。



圖一、(左側) 胸腔X光:雙側氣胸。

本圖取自臨床圖片,去病人資訊授權重製經期性氣胸 



圖二(右側) 胸腔電腦斷層:右側橫膈膜節結(黃色箭頭處)。

本圖取自臨床圖片,去病人資訊授權重製經期性氣胸


前言

            經期性氣胸(Catamenial pneumothorax) 是指在女性月經週期相關時段發生的自發性氣胸,好發於生育年齡的女性。是胸腔子宮內膜異位症(Thoracic endometriosis syndrome)的表現之一,其他表現有經期性血胸 ( Catamenial hemothorax )、經期性咳血(Catamenial hemoptysis),多為右側氣胸,少數發生在左側或雙側。病人通常需要接受手術治療,並同時治療子宮內膜異位症。


機轉

            目前機制尚未完全明朗,主要假說包括:

1. Retrograde menstruation經血或子宮內膜組織經由橫膈膜的小孔進入胸腔,引起氣胸

2. Metastatic:子宮內膜細胞透過血液或淋巴轉移至胸膜,週期性出血導致氣胸

3. Physiological:月經期前列腺素升高造成支氣管收縮、肺泡破裂

4. Transdiaphragmatic air passage: 空氣經陰道 → 子宮 → 輸卵管 → 腹腔 → 經橫膈膜缺口進入胸腔

5. 近年研究指出基質金屬蛋白酶(MMPs)活化可能導致橫膈膜組織脆弱化,進而形成氣胸通道。


症狀

            與一般自發性氣胸相似,但有經期性發作特徵(通常在月經開始前24小時前到開始後48~72 小時內),好發部位為右側,與骨盆腔血液及淋巴回流方向有關。常見症狀:突發胸痛、 呼吸困難、咳嗽,另外病患可能有不孕、慢性骨盆疼痛、痛經 ( Dysmenorrhea )、性交疼痛 ( Dyspareunia )等病史。


診斷

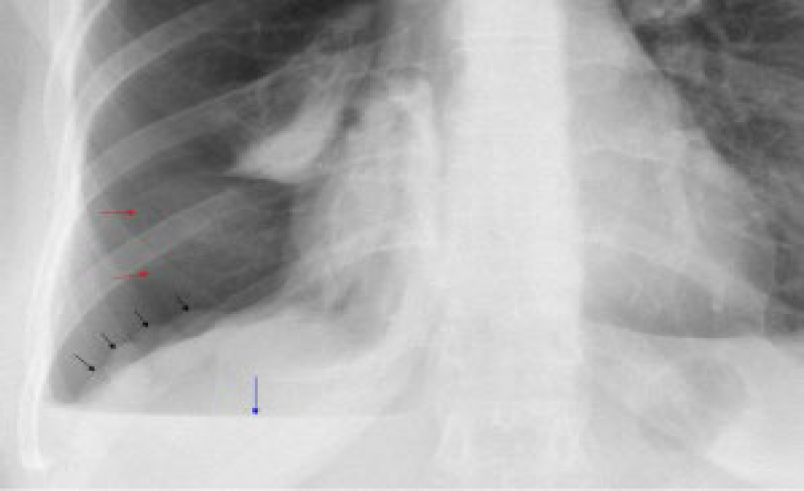
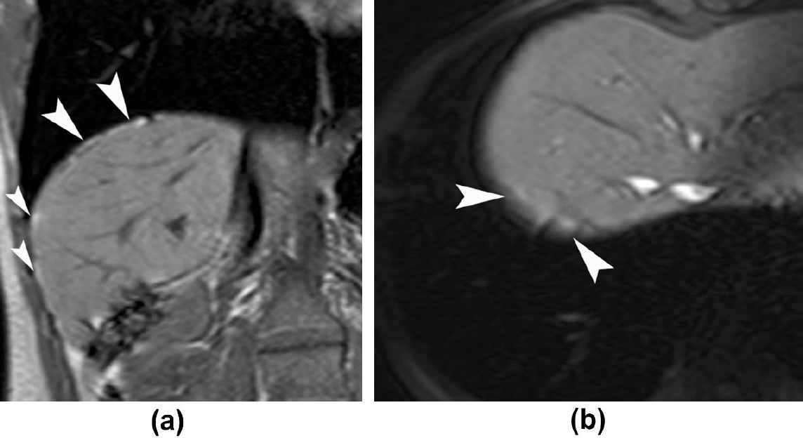
            臨床診斷為主,當生育年齡女性有反覆胸痛、氣胸,且與月經週期相關時需高度懷疑。實驗室檢查可能可以發現CA-125上升,但不具有特異性。影像上,胸腔X光可能可以看到橫膈膜上多個小結節(圖三黑色箭頭),其來源是子宮內膜異位造成橫膈膜孔洞,同時肝臟往胸腔突出所造成,在胸腔電腦斷層也可以看到相同特徵(圖四)。對於橫膈膜上的子宮內膜異位,核磁共振有較前兩者高的敏感性及特異性,其在fat-suppressed T1-weighted MRI可以看到訊號增強的病灶(圖五)。最後則是手術的方式,如胸腔鏡手術( video-assisted thoracoscopy, VATS ),直接看到病灶(圖六:橫膈膜結節,圖七:橫膈膜上的子宮內膜),其病理檢驗可看到子宮內膜的間質細胞及腺體。


 

圖三胸腔X光可能可以看到橫膈膜上多個小結節(圖三黑色箭頭)

(圖片來源: Catamenial pneumothorax. J Thorac Dis. 2014;6(S4):S448-S460. )

  


圖四胸腔電腦斷層也可以看到橫膈膜上多個小結節

(圖片來源: Catamenial pneumothorax. J Thorac Dis. 2014;6(S4):S448-S460. )

 


圖五核磁共振的T1-weighted可以看到訊號增強的病灶

(圖片來源: Thoracic endometriosis syndrome: CT and MRI features Rousset, P. et al. Clinical Radiology, Volume 69, Issue 3, 323 - 330)

 


圖六胸腔鏡手術可以看到橫膈膜結節

(圖片來源: Thoracic endometriosis syndrome: CT and MRI features Rousset, P. et al. Clinical Radiology, Volume 69, Issue 3, 323 - 330)

 


圖七胸腔鏡手術可以看到橫膈膜上的子宮內膜

(圖片來源: Thoracic endometriosis syndrome: CT and MRI features Rousset, P. et al. Clinical Radiology, Volume 69, Issue 3, 323 - 330)


治療

            急性期與一般氣胸處理方式一樣,較小或症狀輕微的氣胸可以用支持性治療即可,較大的氣胸則可能需要放置胸管。


預防復發

            分為外科及內科治療,外科治療部分常見有胸腔鏡手術( video-assisted thoracoscopy, VATS )修補橫膈膜缺口、切除異常肋膜或肺泡、以及肋膜沾黏術;內科治療則以抑制卵巢分泌雌激素,讓子宮內膜( 包含異位的內膜 )萎縮,常見藥物有GnRH agonists、Danazol. 口服避孕藥及黃體素等。兩者合併使用可有效預防此疾病復發。






Reference

1. Visouli AN, Zarogoulidis K, Kougioumtzi I, Huang H, Li Q, Dryllis G, Kioumis I, Pitsiou G, Machairiotis N, Katsikogiannis N, Papaiwannou A, Lampaki S, Zaric B, Branislav P, Porpodis K, Zarogoulidis P. Catamenial pneumothorax. J Thorac Dis. 2014;6(S4):S448-S460.

2. Damps-Konsta ´nska, I.; Szukalska, A.; Janowiak, P.; Jassem, E. Catamenial Pneumothorax—Still an Unveiled Disease. Medicina 2024, 60, 2029.

3. Thoracic endometriosis syndrome: CT and MRI features Rousset, P. et al. Clinical Radiology, Volume 69, Issue 3, 323 – 330

回上頁